Chàng trai 26 tuổi phát hiện “BOM nổ chậm” trong não nhờ 1 khó chịu người hay dùng điện thoại, máy tính “gặp như cơm bữa”

<!–

–>

Chỉ nghĩ đơn giản đó là vấn đề thường gặp của “dân văn phòng”, chàng trai độc thân này sốc nặng khi biết có khối u khổng lồ xâm chiếm não.

Ngày 28/9/2025, báo ĐSPL đã đăng tải bài viết với tiêu đề: “Chàng trai 26 tuổi phát hiện “BOM nổ chậm” trong não nhờ 1 khó chịu người hay dùng điện thoại, máy tính “gặp như cơm bữa””. Nội dung như sau:

Chàng trai đang được nói đến họ Vương, 26 tuổi, làm lập trình viên tại Phúc Kiến (Trung Quốc). Bắt đầu từ nửa năm trước, anh thường xuyên bị nhức mỏi, tê bì ở ngón tay và bàn tay trái. Khi đi hỏi bạn bè và đồng nghiệp thì họ cho biết cũng hay gặp tình trạng tương tự khi làm việc với máy tính, dùng điện thoại di động nhiều nên anh Vương không quá để tâm. 

Thời gian trôi qua, cảm giác khó chịu ở tay anh ngày càng tăng lên. Mát xa, dùng miếng dán cũng không còn hiệu quả, anh nghe lời đồng nghiệp đi châm cứu đều đặn nhưng cũng chẳng khá lên là bao. Anh cố gắng “sống chung với lũ” vì nghĩ bệnh nghề nghiệp thì chỉ có bỏ nghề mới hết được.

Cho tới 1 tháng trở lại đây, tình trạng chuyển biến tồi tệ. Cảm giác tê không chỉ dừng lại ở tay mà còn lan xuống cả chân trái. Việc cầm nắm bằng tay trái ngày càng khó khăn, anh liên tục làm rơi đồ vật. Đến khi không thể gõ nổi bàn phím để hoàn thành công việc, anh Vương buộc phải tới bệnh viện kiểm tra. 

Anh Vương phát hiện khối u não kích thước lớn, vị trí nguy hiểm khi đi khám tê bì tay trái

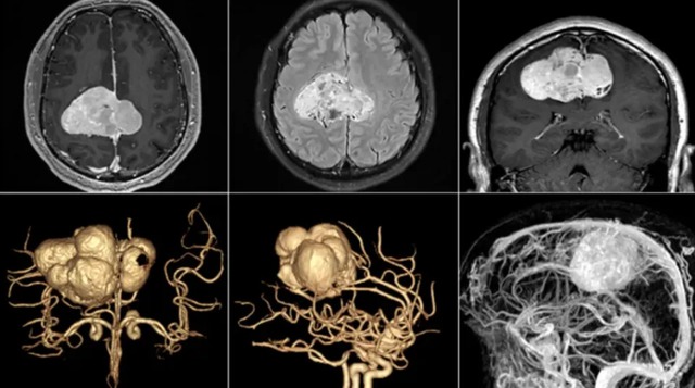
Thật không ngờ, bác sĩ xương khớp không tìm ra bệnh mà khuyên anh nên tới khoa thần kinh hoặc ung bướu. Cuối cùng, anh được phát hiện có khối u kích thước rất lớn, nằm sát vùng vận động, chèn ép dây thần kinh và mạch máu quan trọng. Tính mạng anh Vương gặp nguy hiểm, cần phải chuyển lên tuyến trên để phẫu thuật ngay lập tức. 

Ca mổ của anh kéo dài tới 17 tiếng liên tục, với sự tham gia của hơn 10 y bác sĩ tại Khoa Phẫu thuật Thần kinh của Bệnh viện Liên minh trực thuộc Đại học Y Phúc Kiến (Trung Quốc). May mắn là khối u được loại bỏ thành công, sau 2 tuần hồi phục thì anh Vương đang tiếp tục vật lý trị liệu.

Ca phẫu thuật của anh Vương kéo dài 17 tiếng với đội ngũ y bác sĩ trên 10 người và hỗ trợ của nhiều thiết bị hiện đại

Bác sĩ nhắc nhở những triệu chứng u não dễ bị bỏ qua

Tiến sĩ Lương Nhật Sinh là người chỉ đạo chính và trực tiếp phẫu thuật cho anh Vương. Ông cho biết khối u của anh là u sợi đơn độc, một dạng hiếm gặp của khối u hệ thần kinh trung ương. Khối u có đường kính 7cm, chèn ép lên vùng vận động nên gây ra cảm giác tê bì, run và yếu ở tay trái, thậm chí nửa người bên trái. Loại u, vị trí và kích thước, thời điểm phát hiện của khối u khiến ca bệnh trở thành ca cực khó, nguy hiểm và dễ để lại biến chứng. 

Thông qua trường hợp của anh Vương, ông cũng bày tỏ lo lắng khi nhiều người trẻ thường chủ quan coi tê tay hay mỏi cơ là do làm việc với máy tính, điện thoại quá lâu. Nhưng trong một số trường hợp, đây có thể là dấu hiệu cảnh báo khối u não hoặc bệnh lý thần kinh nguy hiểm. 

Ngoài tê tay, những triệu chứng khác của u não cần đặc biệt lưu ý gồm: 

– Đau đầu dữ dội, thường xuyên và kéo dài. Cơn đau có thể nặng hơn vào buổi sáng hoặc khi gắng sức.

– Buồn nôn, nôn ói kéo dài kèm cảm giác mệt mỏi, buồn ngủ bất thường.

– Nhìn mờ, nhìn đôi hoặc mất thị lực một phần. Thị giác thay đổi bất thường cần đi khám ngay.

– Mất thăng bằng, đi loạng choạng, khó phối hợp động tác. Một số người còn cảm thấy chóng mặt hoặc buồn nôn.

– Co giật. Đây là một trong những dấu hiệu cảnh báo quan trọng, đặc biệt khi người trẻ chưa từng có tiền sử động kinh.

– Thay đổi tính cách, tâm trạng hoặc trí nhớ. Người bệnh có thể dễ cáu gắt, mất tập trung hoặc quên nhiều việc đơn giản.

Tiến sĩ Lương cũng cảnh báo, việc lạm dụng thiết bị điện tử khiến dân văn phòng thường xuyên gặp các vấn đề ở bàn tay, cổ tay và cột sống. Hội chứng ống cổ tay, thoái hóa đốt sống cổ hay viêm gân cơ… là những bệnh khá phổ biến. 

Tê, yếu một bên chi (tay hoặc chân) dai dẳng, bất thường có thể là dấu hiệu của u não (Ảnh minh họa)

Để hạn chế, mọi người nên điều chỉnh thời gian làm việc, nghỉ giải lao sau mỗi 45-60 phút, tập giãn cơ nhẹ nhàng, đồng thời giữ tư thế ngồi đúng khi làm việc. Chế độ dinh dưỡng giàu omega-3, vitamin nhóm B và canxi cũng giúp hệ thần kinh và cơ xương chắc khỏe hơn. Khám sức khỏe định kỳ, đi khám ngay khi có dấu hiệu bất thường cũng là “chìa khóa vàng” để phát hiện và điều trị mọi bệnh tật, không chỉ riêng u não hay vấn đề xương khớp.

Trước đó, báo Pháp luật & Bạn đọc đã đăng tải bài viết với tiêu đề: “Tiếp xúc bức xạ điện thoại trong thời gian dài có thể gây tổn thương, u não không? Đây là câu trả lời của chuyên gia”. Cụ thể như sau:

Cậu bé 13 tuổi Giang Giang này là người “nghiện” điện thoại di động, ngoại trừ lúc đi học thì không thể nghịch điện thoại di động, thời gian còn lại cậu đều “ôm” điện thoại chơi game và xem video. Dù người lớn trong gia đình cũng nhiều lần nhắc nhở nhưng đều vô ích, thậm chí Giang Giang còn lén nghịch điện thoại trên giường vào ban đêm.

Tình trạng này kéo dài khoảng 2 năm, một thời gian trước, Giang Giang luôn nói rằng mình chóng mặt, đau đầu, buồn nôn và nôn sau khi nhìn lâu vào điện thoại. Lúc này, bố mẹ cậu bé liền lập tức đưa con đến bệnh viện kiểm tra thì phát hiện trong đầu cậu bé có một khối u với kích thước bằng một quả nho.

Ảnh minh họa

Cả gia đình vô cùng sửng sốt, vội làm theo lời bác sĩ, cho Giang Giang nhập viện điều trị và chuẩn bị cho ca mổ.

Tại sao cậu bé còn nhỏ như vậy lại có khối u trong đầu? Bác sĩ không thể cho biết lý do tại sao, nhưng chỉ có thể nói rằng nhiều yếu tố có thể gây ra nó, điều này nhắc nhở cha của Giang Giang về những thói quen thường ngày của con trai ông. Lúc này người bố cho rằng chính việc nghịch điện thoại trong thời gian dài của Giang Giang là nguyên nhân. Tuy nhiên, điều này có thực sự chính xác hay không?

Sử dụng điện thoại trong thời gian dài làm tăng nguy cơ mắc bệnh u não?

Chơi điện thoại di động trong thời gian dài, liệu bức xạ từ điện thoại di động có thực sự làm tăng nguy cơ mắc bệnh u não? Trước hết, chúng ta cần hiểu những yếu tố nào có thể gây ra khối u:

– Tính di truyền: Đột biến gen đóng một vai trò quan trọng trong sự xuất hiện của các khối u não. Những người có tiền sử gia đình bị u não, xơ cứng nốt, u xơ thần kinh và các hội chứng di truyền khác có nhiều khả năng bị u não.

– Tiêu thụ thực phẩm chế biến trong thời gian dài: Ăn một lượng lớn thực phẩm bảo quản trong thời gian dài, thực phẩm chế biến nặng (nhiều khâu bước) và thực phẩm nhiều đường có chứa muối nitroso có thể gây ra các bệnh về não bao gồm cả khối u não.

– Tiếp xúc với các vật liệu độc hại: Thường xuyên tiếp xúc với một số chất phóng xạ, nguyên liệu hóa chất, ô nhiễm từ đồ trang trí… sẽ làm tăng nguy cơ mắc bệnh u não.

– Bức xạ ion hóa: Chụp X-quang, CT, hạt nhân phóng xạ… trong bệnh viện đều là kiểm tra phóng xạ, nhưng miễn là họ làm theo hướng dẫn của bác sĩ và không lặp lại việc kiểm tra nhiều lần, chúng tương đối an toàn.

Vậy bức xạ điện thoại di động có thể gây u não không?

Giáo sư Li Wenliang, Trưởng khoa Ung thư não, Bệnh viện Ung thư Thiên Tân (Trung Quốc), cho rằng có thể có mối liên hệ nào đó, nhưng không liên quan. Kể từ những năm 1990, việc sử dụng điện thoại di động ở Trung Quốc đã bùng nổ, nhưng tỷ lệ mắc bệnh u não không có sự gia tăng tương ứng.

Về tác động của bức xạ điện thoại di động đến sức khỏe con người, cho đến nay vẫn chưa có công bố rõ ràng, hiện tại vẫn chưa có bằng chứng đầy đủ cho thấy bức xạ điện thoại di động sẽ làm tăng nguy cơ mắc bệnh u não, nhưng chúng ta cũng không loại bỏ hoàn toàn nguy cơ này. Bức xạ có thể tồn tại như một “chất có thể gây ung thư” trong một thời gian dài.

Hầu hết các nhà khoa học tin rằng so với các mối đe dọa sức khỏe thông thường khác, bức xạ điện từ có thể tiếp xúc với cuộc sống hàng ngày, bao gồm cả bức xạ điện thoại di động, có thể có tác động rất nhỏ, vì vậy không cần phải lo lắng về nó.

5 rủi ro thực sự đối với sức khỏe của việc sử dụng điện thoại quá lâu

– Đau mắt

Việc nhìn vào điện thoại di động trong thời gian dài sẽ khiến mắt luôn trong trạng thái căng thẳng, không được nghỉ ngơi đầy đủ, dễ dẫn đến cận thị. Nhìn chằm chằm vào điện thoại di động trong thời gian dài sẽ làm giảm số lần chớp mắt, khiến nước mắt trên bề mặt nhãn cầu bay hơi và làm cho nhãn cầu mất đi độ ẩm, đây cũng là một trong những nguyên nhân chính gây ra bệnh khô mắt.

– Tổn thương cột sống cổ

Ngày nay bệnh thoái hóa đốt sống cổ ngày càng trẻ hóa, một phần lớn nguyên nhân là do bạn cúi đầu lâu để nhìn điện thoại, nếu cúi đầu lâu sẽ khiến cột sống cổ phải chịu áp lực lớn hơn, dễ gây mất ổn định cột sống cổ và thoát vị đĩa đệm cột sống cổ.

– Làm tổn thương đôi tay của bạn

Chơi điện thoại trong thời gian dài có thể bị viêm bao gân, nếu cầm điện thoại quá lớn (quá to hoặc quá nặng) sẽ gây mỏi tay và cổ tay, yếu tay, tê bì… về lâu dài.

– Ảnh hưởng đến nội tiết

Một số người thức khuya chơi điện thoại di động trong thời gian dài, sử dụng điện thoại di động vào ban đêm làm mất thời gian ngủ, nội dung trong điện thoại di động có thể gây hưng phấn tâm lý và thể chất. Dành nhiều thời gian cho điện thoại di động sẽ làm giảm thời gian vận động, từ đó làm chậm quá trình trao đổi chất của cơ thể và tích tụ mỡ, có thể dẫn đến béo phì và giảm khả năng miễn dịch.

– Thiệt hại về tinh thần

Việc dồn quá nhiều năng lượng vào điện thoại sẽ khiến con người thiếu năng lượng vào việc khác, sau khi đồng hồ sinh học bị rối loạn, ban ngày sẽ dễ bị uể oải, ảnh hưởng đến hiệu quả công việc và học tập, khiến nhịp sống của bản thân bị gián đoạn. Và thế giới bên ngoài cũng sẽ mang lại áp lực cho bạn, lâu ngày hình thành một vòng luẩn quẩn.

Việc đắm chìm quá nhiều vào điện thoại di động cũng sẽ mang lại những rào cản xã hội nhất định, làm giảm sự giao tiếp với người thân, bạn bè, gây căng thẳng cho các mối quan hệ giữa các cá nhân.

Nước giặt quốc dân không cần nước xả vẫn thơm, hơn 1,2 triệu người dùng Shopee cho 5 sao!

Trả lời

Thư điện tử của bạn sẽ không được hiển thị công khai. Các trường bắt buộc được đánh dấu *